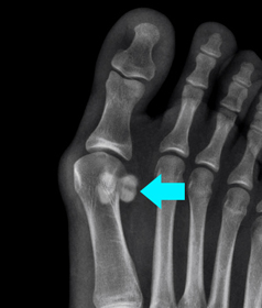
Sesamoid Fracture
-
Eitan Ingall, MD Fellowship Trained Orthopaedic Surgeon
Dr. Ingall is a fellowship-trained orthopedic foot and ankle surgeon who prides himself on delivering compassionate, evidence-based care to his patients.

What is a Sesamoid Fracture?
A sesamoid fracture is a break in the sesamoid bone. Sesamoids are two small, pea-shaped bones located in the ball beneath the big toe joint at the bottom of the foot. Sesamoid bones are connected to muscles and other bones by tendons that envelop these bones. Sesamoids help the big toe move normally and absorb the weight placed on the ball. A podiatrist is a doctor specializing in the treatment of foot problems including sesamoid fractures.
Symptoms
Pain in the ball of the foot and the big toe is the most common symptom. You may also experience bruising, swelling, tenderness, and limited range of motion.
Causes
A direct blow, trauma or landing on your foot incorrectly while playing sports can cause acute fractures. Chronic fractures are tiny hairline cracks in the bone, most often caused due to repeated stress. Sesamoid fractures are common in people involved in running, ballet dancing, aerobics, and high-impact sports like basketball.
What Happens if a Sesamoid Fracture is Left Untreated?
One or both of the sesamoid bones lie near the first metatarsophalangeal (MTP) joint. Untreated sesamoid fractures can cause cartilage problems and arthritis of the MTP joint.
Diagnosis
Your doctor will assess your symptoms and take a medical history. Physical examination of the foot will be performed by moving your big toe. Your walking pattern will also be analyzed. Imaging studies such as X-ray, MRI or CT-scan will be ordered to confirm the diagnosis.
Treatment
Your treatment plan may include:
- Medications: A combination of non-steroidal anti-inflammatory drugs (NSAIDs) and opioids may be used to manage pain and inflammation.
- Rest: Adequate rest can heal a sesamoid fracture.
- Ice pack: Ice packs applied over a towel to the injury will help reduce swelling and pain.
- Immobilization: Splints may be applied to keep the toe in a fixed position.
- Elevation: Keeping your foot elevated above the heart level can reduce pain and inflammation.
- Orthotics: Custom medical devices of the foot such as foot pads are prescribed to cushion the inflamed toe and relieve pressure.
- Cortisone Injection: Cortisol is a hormone that is naturally produced in the human body and functions to reduce stress and inflammation. Steroids are synthetic drugs that resemble cortisol and are used in treating joint pain.
- Physical Therapy: Regular exercise regimen to improve range of motion and strengthen the big toe.
Surgery is recommended if you do not respond to non-surgical treatment options. Stabilization of the bone will be achieved by the screw fixation technique. Sesamoidectomy (removal of sesamoid bone) may be performed in severe cases.
For more information about our services or to schedule an appointment, call us at or click here to request an appointment online. We'll respond to you as soon as possible.




